Nevşehir İl Emniyet Müdürlüğü Narkotik Suçlarla Mücadele Şube Müdürlüğü ekipleri, il genelinde uyuşturucu madde ticareti yapan ve kamuoyunda “torbacı” olarak tabir edilen sokak satıcılarına yönelik çalışmalarını aralıksız sürdürüyor.
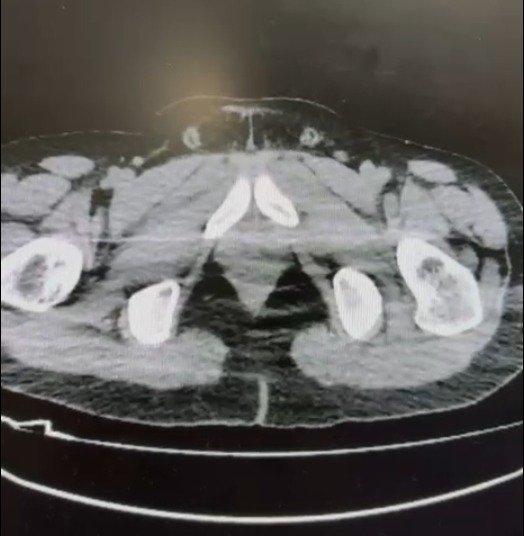
Nevşehir Cumhuriyet Başsavcılığı koordinesinde yürütülen çalışmalar kapsamında, S.B. ve O.R. isimli şahısların “yutma yöntemi” ile Nevşehir’e uyuşturucu madde sevk edeceği bilgisine ulaşıldı.
Şüphelilerin ikametlerinde ve kullandıkları araçlarda yapılan aramalarda;
- 101 kapsül halinde toplam 722 gram metamfetamin maddesi,
- 1 adet hassas terazi,
- Yutma yöntemiyle sevkiyatta kullanılan çeşitli materyaller,
- Uyuşturucu ticaretinden elde edildiği değerlendirilen 20.210 TL, 1.320 Euro ve 10 ABD doları ele geçirildi.
Gözaltına alınan S.B. ve O.R., Türk Ceza Kanunu’nun 188. maddesi kapsamında “Uyuşturucu Madde Ticareti Yapmak” suçundan adliyeye sevk edildi.
Adli süreç sonunda her iki şüpheli de tutuklanarak Nevşehir E-Tipi Kapalı Ceza İnfaz Kurumu’na teslim edildi.
Nevşehir İl Emniyet Müdürlüğü yetkilileri, gençleri hedef alan uyuşturucu tacirlerine karşı mücadelenin kararlılıkla devam edeceğini vurguladı.


















